No Reino Unido, um adolescente de 15 anos foi diagnosticado com Covid-19 no período do último ano novo, o que causou uma leve dor de cabeça. Porém, após tratamento, uma semana depois ele estava curado do vírus, mas as dores persistiram, o que fez com que os pais de Kane Allcock o levassem ao hospital, mas os exames não detectaram nada.

Quando uma segunda opinião foi procurada, um exame geral executado por outro médico o levou a concluir que as dores vinham da síndrome pós-Covid, denominada de Covid longa, um quadro classificado pela Organização Mundial da Saúde (OMS) como a persistência dos sintomas do coronavírus após três meses ou mais após a infecção.
Ao site da Casa Ronald McDonald do Reino Unido, instituição que auxiliou o adolescente e os familiares no tratamento, a mãe do adolescente, Nicki Allcock relata: “A conclusão foi que ele possivelmente ainda estava sofrendo os efeitos posteriores da Covid, então fomos para casa e fomos instruídos a voltar se algo piorasse. Na semana seguinte, ele parecia ir ladeira abaixo rapidamente. As dores de cabeça estavam ficando mais frequentes, e ele estava ficando tonto e com dores no pescoço.”
Vote na Pais&Filhos para o Troféu Mulher Imprensa!
Andressa Simonini, editora-executiva da Pais&Filhos, está concorrendo ao prêmio da categoria Pertencimento e Inovação da 16ª edição do Troféu Mulher Imprensa! Para votar, é muito simples: CLIQUE AQUI e aperte o botão ao lado da foto da Andressa para que ele fique azul. Em seguida, preencha o campo com seus dados e vá até seu email: será preciso confirmar o seu voto clicando em um link. Depois disso, sucesso! Seu voto já foi contabilizado. Obrigada!

A situação preocupante foi descrita por ela, que relatou a falta de seriedade de alguns profissionais: “Ele estava segurando sua cabeça e balançando em agonia. Ele não conseguia andar direito. Eles fizeram alguns exames de sangue e o colocaram em oxigênio e analgésicos intravenosos. A mensagem que eu estava recebendo era que ele ainda estava sofrendo de enxaqueca. Mas quando estávamos sendo registrados na ala de avaliação, falei com uma enfermeira que parecia nos levar mais a sério e disse a ela que notei um amassado na parte de trás da cabeça de Kane” completou.
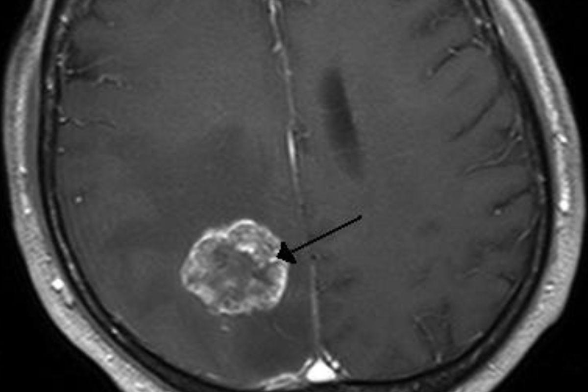
Na manhã que se iniciou, as dores pioraram e Kane chegou a ter convulsões, o que fez com que os médicos fizessem um exame de ressonância magnética, chegando a um resultado que foi divulgado aos pais do garoto: “Steve e eu fomos levados para uma sala e nós disseram que haviam descoberto um quadro de hidrocefalia aguda, que é um acúmulo de pressão no cérebro pelo excesso de líquido. Isso não foi o pior de tudo, no entanto. Eles também encontraram um grande tumor” relatou a mãe.
Sendo levado para uma cirurgia de emergência para tratar a hidrocefalia, Kane voltou dois dias depois para a remoção do tumor, uma cirurgia bem sucedida que levou aproximadamente oito horas, também trazendo mais uma informação, o tumor era benigno. O adolescente recebeu alta quatro dias depois, mas precisará voltar ao hospital devido à outra operação que deverá ser feita após a volta da hidrocefalia.









