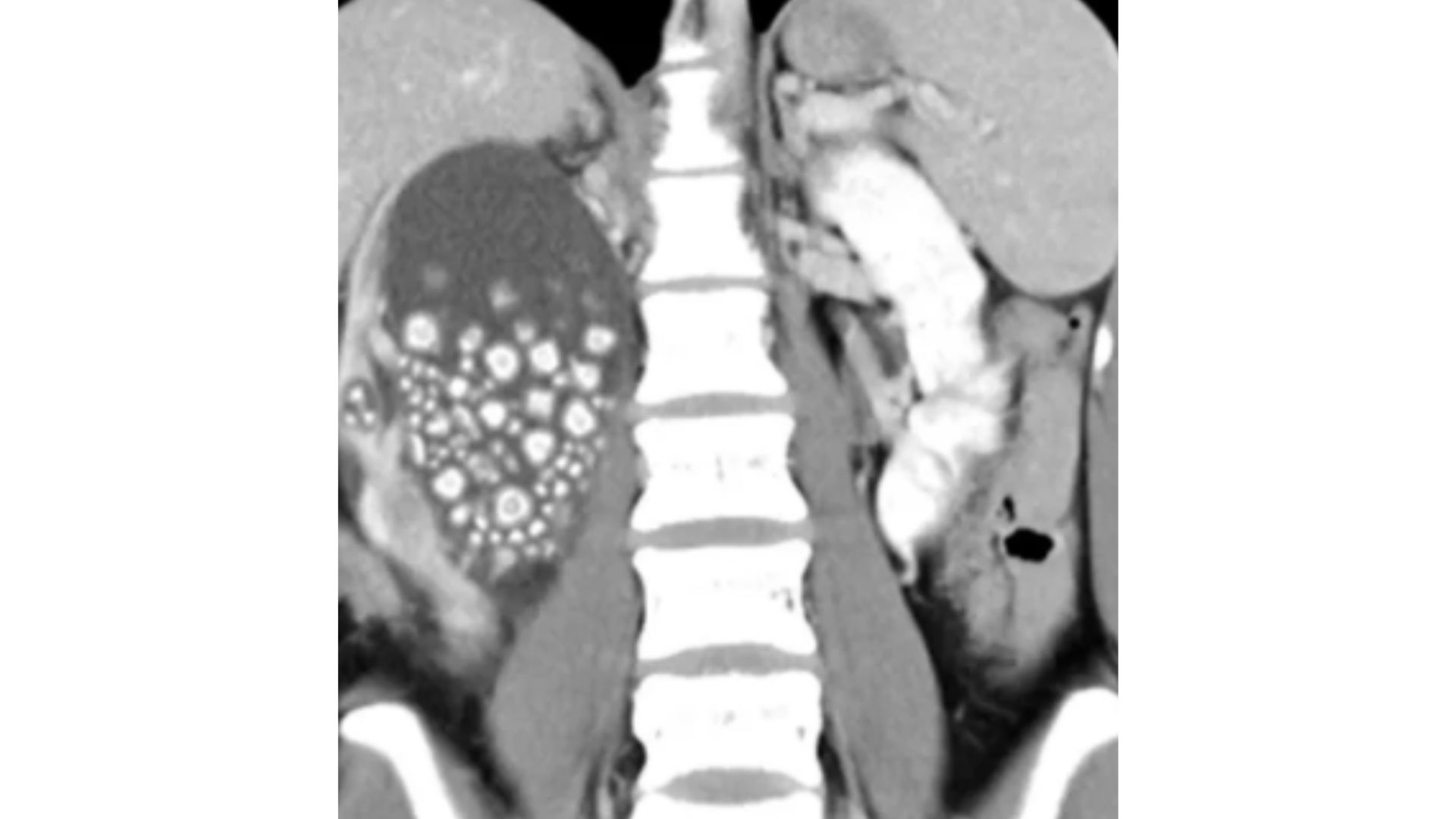
Nesta quarta-feira, 13 de dezembro, o caso clínico de Xiao Yu, de 20 anos, deu o que falar nas redes sociais. Em Taiwan, após ser internada no Hospital Chi Mei, a mulher estava com febre e dores fortes nas costas. Depois de ser encaminhada para a cirurgia de retirada de pedras no rim, os médicos se surpreenderam ao encontrar mais de 300 cálculos renais.
De acordo com a paciente, ela não gostava de tomar água. Ao invés disso, Xiao preferia beber chás com açúcar e sucos vendidos em barracas. Porém, segundo os profissionais de saúde, a mulher estava com uma desidratação crônica e com um acúmulo de minerais nos rins.

Mesmo com a quantidade assustadora de cálculos renais, a cirurgia foi minimamente invasiva e Yu está com o quadro estável. Nos relatórios, os médicos descreveram que os pedras pareciam “pães cozidos no vapor” e tinham de 0,5 a 2 centímetros de diâmetro.

Canal da Pais&Filhos no WhatsApp
Quer receber as principais notícias da Pais&Filhos diretamente no seu WhatsApp? É muito fácil: basta clicar AQUI para seguir o canal. Não esqueça de ativar as notificações para não perder nenhum conteúdo por lá, ok?









